
TRACK-HD 研究显示亨廷顿舞蹈症基因携带者和患者在症状出现前已有显著变化
TRACK-HD 研究一年报告显示亨廷顿舞蹈症基因携带者在症状出现前已有多项变化
注意事项自动翻译 – 可能出错
为了尽快向尽可能多的人传播高清研究新闻和试验更新,本文由人工智能自动翻译,尚未经过人工编辑审核。虽然我们努力提供准确、易懂的信息,但人工智能翻译可能会出现语法错误、误读或用词不清。如需获取最可靠的信息,请参阅英文原文,或稍后再查看经过人工编辑的译文。如果您发现重大问题,或者您的母语是英语,并希望帮助提高翻译的准确性,请随时通过 editors@hdbuzz.net 联系我们。
TRACK-HD 是一项针对亨廷顿舞蹈症基因携带者的观察性试验,已发布了研究第一年的变化数据。这些数据表明,在一年的观察期内可以稳健地观察到亨廷顿舞蹈症患者的多项变化,这些变化可用于帮助规划药物试验。特别是,脑部成像清晰地显示了由亨廷顿舞蹈症基因突变引起的变化。
药物试验和终点指标
所有受亨廷顿舞蹈症影响的人都希望药物试验能成功,从而发现有效的治疗方法。发现有效药物很困难,而且测试过程也很复杂。亨廷顿舞蹈症试验面临的一个困难是确定该测量什么来判断药物是否有效。我们很容易想象,癌症药物可以通过比较服用和未服用药物的患者肿瘤大小来进行测试。在这个例子中,肿瘤大小就是我们所说的试验终点指标,因为这是实际测量的内容。药物试验的成功或失败就是基于这些终点指标的测量。

测试亨廷顿舞蹈症的药物比癌症的例子更复杂。该疾病有典型的运动症状(舞蹈症),但这些症状要到大脑已经受到严重损害后才会出现。此外,由于我们可以通过检查 DNA 在症状出现之前识别出将会发展成亨廷顿舞蹈症的人,我们真正想要做的是在人们仍然健康时使用延缓亨廷顿舞蹈症发作的药物,而不是等到运动症状出现后再治疗。因此,我们需要确定早期发生了哪些变化,并决定哪些变化足够敏感,可以用作治疗试验的终点指标。
TRACK-HD
TRACK-HD 试验在加拿大、法国、荷兰和英国设有研究地点,旨在回答这个问题。参与者每年进行一次访视,持续三年。每位患者的首次(或“基线”)访视发生在 2008 年 1 月至 8 月之间。首次随访发生在 2009 年 1 月至 8 月之间。这项试验与 PREDICT-HD 研究相似,但其设计更像一项药物试验。这意味着它的设计周期更短(3 年),并且只关注在此期间发生变化的症状。由于药物试验运行成本高昂,它们可能持续时间较短,因此在某些方面,TRACK-HD 就像是这些后续研究的“预演”。
前两次评估的结果刚刚发表在《柳叶刀神经学》杂志上。
基线差异和纵向数据的需求
TRACK-HD 的基线访视旨在观察不同阶段亨廷顿舞蹈症基因携带者之间,以及携带者与不携带基因的对照受试者之间的差异。研究已经显示了这样的变化,因此 TRACK-HD 研究更详细地测量这些效应很重要。此外,由于亨廷顿舞蹈症需要多年或数十年才能发展,在患者中观察到的差异在基线时可能看起来很大,但实际上可能是由于长期发生的非常缓慢的变化造成的。这类差异将不适合作为药物试验的终点指标,因为在随后几年中的变化将非常小且难以测量。TRACK-HD 的基线数据于 2009 年发表,显示了亨廷顿舞蹈症基因携带者和患者存在多项重要差异。

研究类别:脑部成像、认知、运动和精神症状
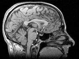
这些“变化”是什么?TRACK-HD 研究正在对每位受试者进行大量测量。磁共振成像 (MRI) 能够捕捉每位受试者大脑的详细三维图像。运动症状正通过多种方式进行测量,包括高科技眼动追踪和其他精密工具。许多测试旨在评估受试者的智力(或“认知”)功能及其情绪健康状况。最后,医生们还使用了多种评分量表来评估亨廷顿病 (HD) 的体征,这些也得到了测量,从而使 TRACK-HD 的科学家能够将他们的数据与早期试验进行比较。这些测试数量众多,TRACK-HD 的参与者们为整个亨廷顿病社区做出的贡献值得祝贺。
最敏感的测量指标
有了每位受试者的基线数据,TRACK-HD 的科学家们可以观察第一年每项测量的变化。在进行的数十项测量中,脑部成像得出的数据最为敏感。分析数百张三维图像的变化很困难,因此 TRACK-HD 科学家使用了三种完全不同的技术来确保他们观察到的变化不是由技术问题引起的。他们从每种技术得到的答案都非常一致,这让我们相信他们测量的是大脑的真实变化。
携带亨廷顿病 (HD) 突变的人群,其全脑体积下降速度更快,尽管未携带 HD 突变的人群大脑体积在一年内也会萎缩。已知对 HD 非常敏感的大脑特定区域,即尾状核和壳核,在携带 HD 突变的人群中退化得更快。该研究还发现大脑白质的早期损失,这非常重要,因为它相当于大脑的“线路”。
携带亨廷顿舞蹈症基因的人在某些智力功能测试中表现更差,特别是画圆测试。这个简单的任务要求受试者在电脑屏幕上准确地描绘一个圆,这需要良好的精细运动控制。在几乎所有携带亨廷顿舞蹈症基因的人群中,包括那些距预期症状发作还有几年的人,这项任务的表现都在退化。在亨廷顿舞蹈症试验中使用的其他一些认知功能测试,在一年内的变化不足以在症状前期携带者的短期药物试验中发挥作用。

图片来源:生命科学数据库
在基线访视时,亨廷顿舞蹈症基因携带者更频繁地出现包括易怒和淡漠在内的情绪行为问题。但根据随访研究,这些症状在一年内变化不大。这类测量可能不适合作为短期药物试验的基础。这很有趣,因为它表明亨廷顿舞蹈症的某些症状,如易怒和淡漠,发展得很慢,而其他变化可能更突然。
效能分析和未来
在 TRACK-HD 患者的数十项测量中,尾状核区域组织的损失是观察到的最明显的变化。在观察到的每组亨廷顿舞蹈症基因携带者中,这种组织损失都一致地更高,即使是在预期运动症状出现前几年的人群中也是如此。这些信息使得进行这项研究的科学家们认为,测量这个脑区的体积可能是亨廷顿舞蹈症药物试验的一个良好终点指标。
使用这些信息的试验会是什么样子?需要多少人参与才能确保试验得出确定性信息?使用观察到的变化,TRACK-HD 科学家可以计算出研究需要多大规模才能得出确定性信息。为此,我们必须估计我们的药物会有多有效。如果药物能减缓尾状核体积损失 20%,我们需要 354 名患者服用药物,354 名患者服用安慰剂或对照物质。这个数量的患者能给我们足够的信息来确定药物是否有效。一个更有效的药物如果能预防 40% 的尾状核萎缩,只需要 89 名患者服用药物和 89 名患者服用安慰剂。
这是令人希望的消息,因为亨廷顿舞蹈症群体已经证明可以完成这种规模的药物试验。例如,一项正在进行的辅酶 Q10 试验有 608 名参与者,而 CREST-E 正在对 650 人进行肌酸试验。TRACK-HD 让我们相信,如果我们能找到合适的药物,我们就能成功地对其进行测试。



