
EuroBuzz 新闻:第一天
EuroBuzz 新闻:第一天。Ed 和 Jeff 在斯德哥尔摩举行的欧洲亨廷顿病网络会议上报道
注意事项自动翻译 – 可能出错
为了尽快向尽可能多的人传播高清研究新闻和试验更新,本文由人工智能自动翻译,尚未经过人工编辑审核。虽然我们努力提供准确、易懂的信息,但人工智能翻译可能会出现语法错误、误读或用词不清。如需获取最可靠的信息,请参阅英文原文,或稍后再查看经过人工编辑的译文。如果您发现重大问题,或者您的母语是英语,并希望帮助提高翻译的准确性,请随时通过 editors@hdbuzz.net 联系我们。
我们从斯德哥尔摩举行的欧洲亨廷顿病网络会议发出的第一份每日报告。在 Twitter 或 Facebook 上关注我们的第二天直播,账号为 HDBuzzFeed。当天 Euro Buzz 会议的视频直播(包括新闻、采访和专题报道)很快将在 HDBuzz.net 上提供观看。
2012 年 9 月 14 日,星期五
8:11 – 欢迎来到 EuroBuzz 2012,Ed Wild 和 Jeff Carroll 在斯德哥尔摩举行的欧洲亨廷顿病网络会议上进行现场报道。

8:43 – Ed: 哥德堡残奥会运动员兼副市长 David Lega 欢迎欧洲亨廷顿病网络来到斯德哥尔摩。
8:48 – Jeff: David Lega(运动员、商人和残疾人活动家)为会议的开始带来了美好的想法。他说“我将永远是残疾人,但不仅仅是残疾人。”
9:12 – Ed: Michael Hayden(不列颠哥伦比亚大学):多达千分之一的人可能患有 50% 或 25% 的亨廷顿病风险。普通人群中携带“中间”或“灰色区域”亨廷顿病基因的风险可能为 5%。
9:22 – Jeff: Michael Hayden (UBC) 表示,HD 比以前认为的更常见——高达 15/100,000。更令人惊讶的是,这意味着 1/1,000 的人有患有 HD 的父母或祖父母。
9:45 – Jeff: CHDI Foundation Inc. 首席临床官 Cristina Sampaio 提出了一个问题——我们应该进行什么样的试验?她主张进行更小、更灵活的试验,以期更快地测试药物。她的组织正在做大量准备工作,为这些新试验做好准备。
9:50 – Ed: 前欧洲药品管理局负责人 Cristina Sampaio 鼓励人们以现实的眼光看待 HD 治疗方法可能出现的方式。许多令人兴奋的药物和方法目前或即将进入试验阶段。未来的亨廷顿病药物可能是预防性的、疾病改善性的或对症性的——或三者的结合。未来的亨廷顿病临床试验需要设计得更智能、更小、更准确。
10:25 – Ed: Alexandra Durr(巴黎)表示,我们越早治疗 HD 越好。这意味着我们需要检测到最早的变化。亨廷顿病基因携带者可以在没有症状的情况下应对惊人的脑萎缩。
10:32 – Jeff: Alexandra Durr 的小组一直在研究携带 HD 突变的人,发现他们的学习方式不同——甚至在他们患上 HD 之前。在实验室里,他们对惩罚的反应更差,对奖励型学习的反应更好。又多了一个善待他人的理由!
11:23 – Ed: Hugo Aguilaniu(法国里昂)询问控制衰老的基因可能告诉我们关于亨廷顿病的什么信息。某些基因突变的蠕虫比正常蠕虫寿命长得多。这能否有助于提高 HD 细胞的健康水平?
11:55 – Ed: Włodz Krzyzosiak – 某些遗传疾病的 RNA“信息”分子有时是有害的 – 不仅仅是蛋白质。研究 RNA 信息分子以及 DNA 和蛋白质可能有助于理解和治疗亨廷顿病等疾病。
12:19 – Jeff: McMaster 大学 Ray Truant 想了解导致 HD 的基因通常会做什么。令人惊讶的是,这仍然有点神秘。
12:20 – Ed: Ray Truant(加拿大)- Huntingtin 蛋白会导致 HD,但它有什么作用?正常的 huntingtin 蛋白在我们的细胞中做了很多不同的事情。它是我们拥有的最大的蛋白质之一。Huntingtin 蛋白有很多部分就像“弹簧”或弹簧。huntingtin 的压缩或拉伸是否重要?Huntingtin 也会从细胞的一部分移动到另一部分。化学“标签”或“标签”控制着它的运动。突变蛋白最终会带有过多的“磷酸”标签。这可能会导致它在我们细胞的细胞核中积聚。huntingtin 蛋白参与的事情之一是对身体和化学压力的反应。非常有趣的东西。
12:36 – Ed: 如果我们要战胜 HD,我们真的需要了解正常和突变的 huntingtin 蛋白。Truant 的工作非常重要
12:38 – Jeff 和 Ed 将于欧洲中部时间下午 6 点在舞台上采访 Truant 和其他顶尖的亨廷顿病科学家。视频稍后将在 HDBuzz.net 上在线发布
12:39 – Ed: Truant 告诉我们,huntingtin 蛋白会向后弯曲自身以形成发夹。导致亨廷顿病的扩展“CAG”会改变这一点。药物分子可以改变添加到 huntingtin 蛋白中的磷酸标签的数量,从而改变其在细胞中的折叠和运动。Truant 称他的想法为“生锈的铰链”假说 – HD 突变降低了灵活性,阻止 huntingtin 帮助细胞应对压力。Truant 提出了一个有趣的问题:huntingtin 蛋白是否参与其他神经退行性疾病,如阿尔茨海默病、帕金森病和 ALS?

12:50 – Ed: 现在是斯德哥尔摩的午餐时间。稍后会有更多更新。大量的科学家和临床医生
14:00 – Ed: 我们回来了!Juliana Bronzova 正在讨论 Euro-HD Network 为对抗亨廷顿病而制定的科学战略。EHDN 协调并支持亨廷顿病研究的各个方面,包括临床试验支持
14:17 – Ed: Oliver Quarrell(英国谢菲尔德)提供了关于青少年亨廷顿病工作组的最新信息 – 大约 20 名 HD 患者中就有 1 名在 20 岁之前出现症状 – 这是青少年 HD,但尚未得到足够的密切研究
14:19 – Ed: EHDN 注册研究的一个新分支正在欧洲招募青少年 HD 患者。到目前为止,已有 40 名 JHD 患者注册!
14:20 – Ed: Quarrell 说青少年 HD 病例开始得更早,但它们进展得更快吗?这是否可以用来更快地测试药物?目前我们不知道青少年 HD 是否进展得更快,但正在使用脑部扫描进行研究。青少年 HD 通常具有较大的“CAG 重复长度”。初步 MRI 扫描显示,较大的重复会导致更快的脑萎缩。评估 HD 的传统方法对于 JHD 的年轻患者来说效果不佳。#EHDN JHD 小组正在测试新的量表和问卷。
14:27 – Ed: Katia Youssov 提供了关于 EHDN“晚期亨廷顿病”工作组的最新信息。晚期 HD 小组的主要重点是促进更好的护理。正在编写指导手册。与青少年 HD 一样,现有测量疾病症状的方法无法满足具有晚期症状的患者的需求,这使得试验变得困难。EHDN 晚期 HD 小组开发了一种新的评定量表 UHDRS-FAP,用于支持晚期疾病的临床试验
14:39 – Ed: Simon Brooks(英国卡迪夫)研究了 HD 小鼠运动计划的效果,模仿人类的物理疗法。一只 HD 小鼠一晚上可以跑 5 公里!小鼠的某些类型的运动比其他类型的运动更有益。当小鼠在轮子上跑很多时,它们会变得更快、更活跃。运动对 HD 小鼠最显着的影响是思维速度。运动的小鼠的脑萎缩也较少。
14:51 – Ed: Monica Busse(英国卡迪夫)领导 EHDN 物理疗法小组研究亨廷顿病最佳物理疗法。EHDN 物理疗法小组正在开发一种基于证据的家庭锻炼 DVD,名为“Move to Exercise”,供亨廷顿病患者使用。EHDN 物理疗法小组正在进行其他几项基于社区和健身房的运动研究,以找到在 HD 中保持活跃的最佳方式。
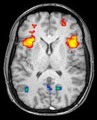
15:14 – Ed: Mike Orth(德国乌尔姆)研究亨廷顿病突变患者的大脑活动。HD 突变携带者的大脑在休息时表现出不同程度的活动,并且有趣的是,区域之间的连接增加。Mike Orth 是我们稍后将采访的科学家之一 – 视频将在不久后发布。
15:20 – Jeff: 乌尔姆大学的神经科医生 Michael Orth 研究大脑“默认模式网络”的变化。这些是大脑在我们“空闲”或“做白日梦”并且没有考虑特定事物时活跃的部分。当我们专注于某个特定事物时,这些脑区域通常会平静下来。在 HD 突变携带者的大脑中,这种平静是不完整的,原因尚不清楚。像 Michael Orth 这样的科学家使用一种称为“功能性磁共振成像”或 fMRI 的技术来研究大脑的哪些部分在给定时间处于活跃状态。
15:27 – Ed: Nellie Georgiou-Karistianis(澳大利亚)也在谈论大脑活动。G-K 博士在功能性 MRI 扫描仪中使用思维测试来挑战和探测亨廷顿病突变携带者的大脑功能。她正在随着时间的推移重复使用 fMRI,我们可以看到 HD 的变化以及我们可以测量的内容,并旨在通过治疗来挽救。
15:35 – Ed: Ellen ‘t Hart(荷兰莱顿)一直在研究 HD 中具有不同运动症状模式的患者。一些 HD 患者有很多舞蹈症(额外的运动);另一些患者则更加僵硬。思维变化是否会跟随运动问题?。她使用 EHDN 注册研究数据来识别“烦躁”和“僵硬”的患者,并研究了两组的思维能力。“烦躁”的患者往往比僵硬是主要问题的患者具有更好的思维和功能能力。
17:09 – Jeff: Van Andel 研究所的 Patrik Brundin 正在向会议提供关于使用“干细胞”修复 HD 动物模型和患者大脑损伤的努力的回顾。
17:12 – Ed: Patrick Brundin(Van Andel 研究所):胎儿细胞移植试验仍在与干细胞治疗一起进行。



